ABOUT
THE SMILE MAKEOVER PROCESS
The Asaro Dental Aesthetics office features an in-house master ceramist enabling the team to oversee and coordinate your every step of your care. Our blend of ceramic closely resembles natural teeth, making is possible to craft a beautiful, detailed and realistic smile. This level of customization and convenience enables us to significantly reduce the wait time for your new appearance.
FIRST APPOINTMENT
Dr. Asaro consults with you, one-on-one, to discuss your situation, explain treatment options and answer your questions.
SECOND APPOINTMENT
The Asaro team examines and makes 3D models of your teeth. Dr. Asaro then accesses the results and fits temporary veneers that will be worn for about a week.
THIRD APPOINTMENT
Aesthetic evaluation of you with your temporary veneers. You live with your temporary veneers for 2 weeks while our Master Ceramist fine tunes and sculpts your new smile.
FOURTH APPOINTMENT
Dr. Asaro removes your temporary veneers and meticulously places your permanent porcelain veneers.
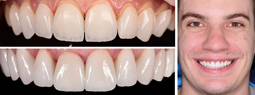
BEFORE AND AFTER
Well planned porcelain restorations feel and function just like natural teeth and with proper oral hygiene can last many, many years.
“Dr. Matt Asaro and his staff did an amazing job and went the extra mile to make help sure that I was always taken care of.”
— Melissa